KSÜ Tıp Öğrencileri Topluluğu Etkinliği
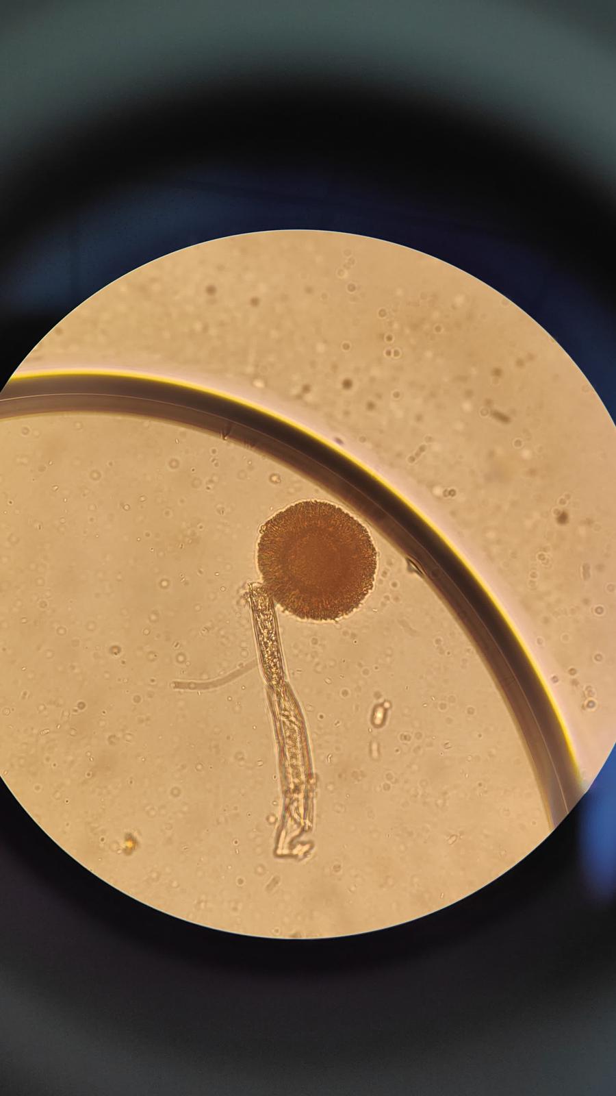
13 Aralık 2023 Çarşamba günü KSÜ Tıp Öğrencileri Topluluğu üyeleri tarafından Fakültemiz Öğretim Üyeleri Prof.Dr. Müzeyyen İZMİRLİ ve Dr.Öğr.Üyesi Lütfiye ÖZPAK eşliğinde Temel Tıp Bilimleri Bölümü Tıbbi Biyoloji Ana Bilim Dalı Tıbbi Genetik Laboratuvarları ziyaret edilerek, mikroskopta kan, bakteri ve mantar hücrelerinin izlenmesi etkinliği düzenlenmiştir.
.jpeg)
.jpeg)
.jpeg)
.jpeg)